Monday, March 9, 2015

Carcinoma Renal De Celulas Claras

Cáncer de Pulmón - Wikipedia, La Enciclopedia Libre
También llamado carcinoma de células de avena. [47] Enfermedad grave asociada no controlable: coagulopatías, insuficiencia renal en hemodiálisis, cirrosis, diabetes evolucionada. Malnutrición. Según la función respiratoria: ... Read Article

Photos of Carcinoma Renal De Celulas Claras

Metástasis Palpebral de carcinoma renal de Células claras. A ...
Metástasis palpebral de carcinoma renal de células claras. A propósito de un caso. Palpebral metastasis caused by clear cells renal carcinoma. A case presentation. Julio César Pérez SuárezI; Boris Alfonso GuillénII; Yamilé León RodríguezIII ... Retrieve Full Source

Carcinoma Renal De Celulas Claras Pictures

Clasificación de Los Tumores Renales - Colegio de Médicos ...
•Carcinoma renal de células claras Carcinoma Renal de Células Cromófobas ... View Full Source

Carcinoma Renal De Celulas Claras

Carcinoma de Células Renales Con Compromiso de Vena Cava ...
Con diagnóstico histológico de carcinoma renal de células claras, grado nuclear 2, multifocal, con compromiso de cápsula y seno renal, con borde de sección ureteral, pelvis renal y grasa perirrenal libres de lesión. Figura 2. ... Visit Document

Pictures of Carcinoma Renal De Celulas Claras

Carcinoma de Células Renales
De carcinoma renal en la base de datos de la Sección de Histología Estadio (Robson) Tratamiento Evolución y supervivencia libre de enfermedad 1 13 Células claras IV Nefrectomía +quimioterapia Fallecido 2 13 Células claras I Nefrectomía Vivo sin enfermedad (2 años) ... Return Doc

Cáncer de Riñon. Nefrectomia Radical Izquierda. - YouTube
(carcinoma de células claras). Paciente femenino de 38 años de edad, la cual es sometida a tratamiento de resección radical de riñon por un tumor maligno. (carcinoma de células claras). ... View Video

Carcinoma Renal De Celulas Claras Pictures

Carcinoma de Células Claras Variedad No Hialinizante de ...
Carcinoma de Células Claras Variedad No Hialinizante de Parótida: como el carcinoma renal de células claras y el melanoma, radica en su tratamiento y pronóstico adecuados (Angiero & Stefani, 2007; Ellis & Auclair; O´Sullivan-Mejía et al., ... Access Document

Carcinoma Renal De Celulas Claras

CARCINOMA DE CÉLULAS RENAIS CROMÓFOBO, VARIANTE MICROCÍSTICA ...
O carcinoma de células renais cromófobo (CCRC) é um subtipo distinto Chromophobe renal cell carcinoma with microcystic and adenomatous arrangement and pigmentation - a diagnostic pitfall. Morphological, immunohistochemical, ... Fetch Here

Carcinoma Renal De Celulas Claras Pictures

Metástasis de Carcinoma de Células Renales (CCR) En Glándula ...
A propósito de dos casos Metastatic Renal Cell Carcinoma (RCC) in contralateral adrenal gland. A report of two cases Héctor Rojas, (12/02/2004) por un carcinoma de células claras, Fuhrman II. Estadificación inicial: Estadio II (T2, N0, M0). ... Access This Document

Carcinoma Renal De Celulas Claras

A Rare Case Of Renal Cell Carcinoma Metastasis In The Parotid ...
Por carcinoma renal de células claras 11 anos˜ después del therapy. diagnóstico inicial. Acta Otorrinolaringol Esp. 2014;65:375---377. ... Fetch This Document

Pictures of Carcinoma Renal De Celulas Claras

EVEROLIMUS Carcinoma de Células Renales Avanzado
Tto de carcinoma renal avanzado/metastático Tto de carcinoma de células renales DISPONIBLE POR USO (células claras), progresión de enfermedad en los últimos 6 meses tras tratamiento o durante tratamiento con sunitinib, sorafenib, o ambos, tratamiento previo con citoquinas (IL2 ... Access Content

Carcinoma Renal De Celulas Claras Pictures

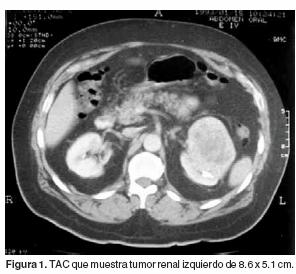
Carcinoma de Células Renales: Estadificación Prequirúrgica ...
Suntivo de carcinoma renal. Criterios de inclusión: pacientes de ambos sexos con tipos de tumores renales: carcinoma de células claras (Fig. 1) en 37 casos, de tipo papilar (Fig. 2) en 2 casos y cromófobo (Fig. 3) en un solo caso. ... Retrieve Document


É caracterizada pela presença de hemangioblastomas e carcinoma renal (carcinoma renal de células claras), anormalidades adrenais, pancreáticas e escrotais. [carece de fontes?] Vasos sanguíneos crescem normalmente formando uma estrutura arbórea. ... Read Article

Pictures of Carcinoma Renal De Celulas Claras

Puesta Al Día: Estadificación Del carcinoma de Células Renales
Puesta al día: estadificación del carcinoma de células renales ma de células renales son: células claras (60-65%), papilar (10-13%) y cromófobo (6-10%). De cualquier el tratamiento quirúrgico del carcinoma renal, con ... Fetch This Document

Reconstruccion de Vena Cava Inferior Bajo Paro Circulatorio E ...
Invasion de vena cava inferior y auricula derecha por trombosis tumoral de un carcinoma renal de celulas claras y recostruccion de VCI bajo paro circulatorio e hipotermia profunda. Dos casos consecutivos sin mortalidad y sobrevida a los dos anos y medio. En memoria de mis colegas Dr ... View Video

Images of Carcinoma Renal De Celulas Claras

Estudo Da Deleção Do Cromossomo 9p Como Fator Prognóstico No ...
DANIEL DE OLIVEIRA GOMES Estudo da deleção do cromossomo 9p como fator prognóstico no carcinoma renal tipo células claras localizado Tese apresentada à Faculdade de Medicina da ... Read Document

Photos of Carcinoma Renal De Celulas Claras

SUNITINIBE PARA CARCINOMA RENAL DE CÉLULAS CLARAS Sumário
3 1.4. PERGUNTA CLÍNICA ESTRUTURADA População: Pacientes portadores de carcinoma renal do tipo células claras Intervenção: Sunitinibe Comparação: Outra opção terapêutica como Interleucina 2, Interferon alfa. ... Fetch Full Source

Displasia renal Multiquística - Wikipedia, La Enciclopedia Libre
Displasia renal multiquística; Imagen histopatológica de un carcinoma de células claras de riñón de una muestra por nefrectomía. Clasificación y recursos externos ... Read Article

Photos of Carcinoma Renal De Celulas Claras

Carcinoma de Células Renais: Relato de Caso
Carcinoma de células renais: relato de caso Renal cell carcinoma: a case report Gleim Dias de Souza 1, Luciana Rodrigues Queiroz Souza 2, O carcinoma de células claras é o tipo histológico mais frequente, representando 60% dos casos, com ... Read Here

Carcinoma Renal De Celulas Claras Pictures

Mixofibroma Odontogenico Del Maxilar. Presentación de Un Caso
Metástasis selectiva a tiroides de carcinoma renal de c élulas claras a los diez años del diagnóstico de la neoplasia renal. A propósito de un caso ... View Document

Carcinoma Renal De Celulas Claras Pictures

Citopatología Del carcinoma de Células Renales Papilar
Suprarrenal y 7 cm. de uréter: Carcinoma renal papilar, tipo I, de 9 cm. con infiltración de pseudocápsula y bordes libres. Uréter y suprarrenal libres de enfermedad. (pT2). Carcinoma de células claras Carcinoma cromófobo ... Read Content

No comments:

Post a Comment